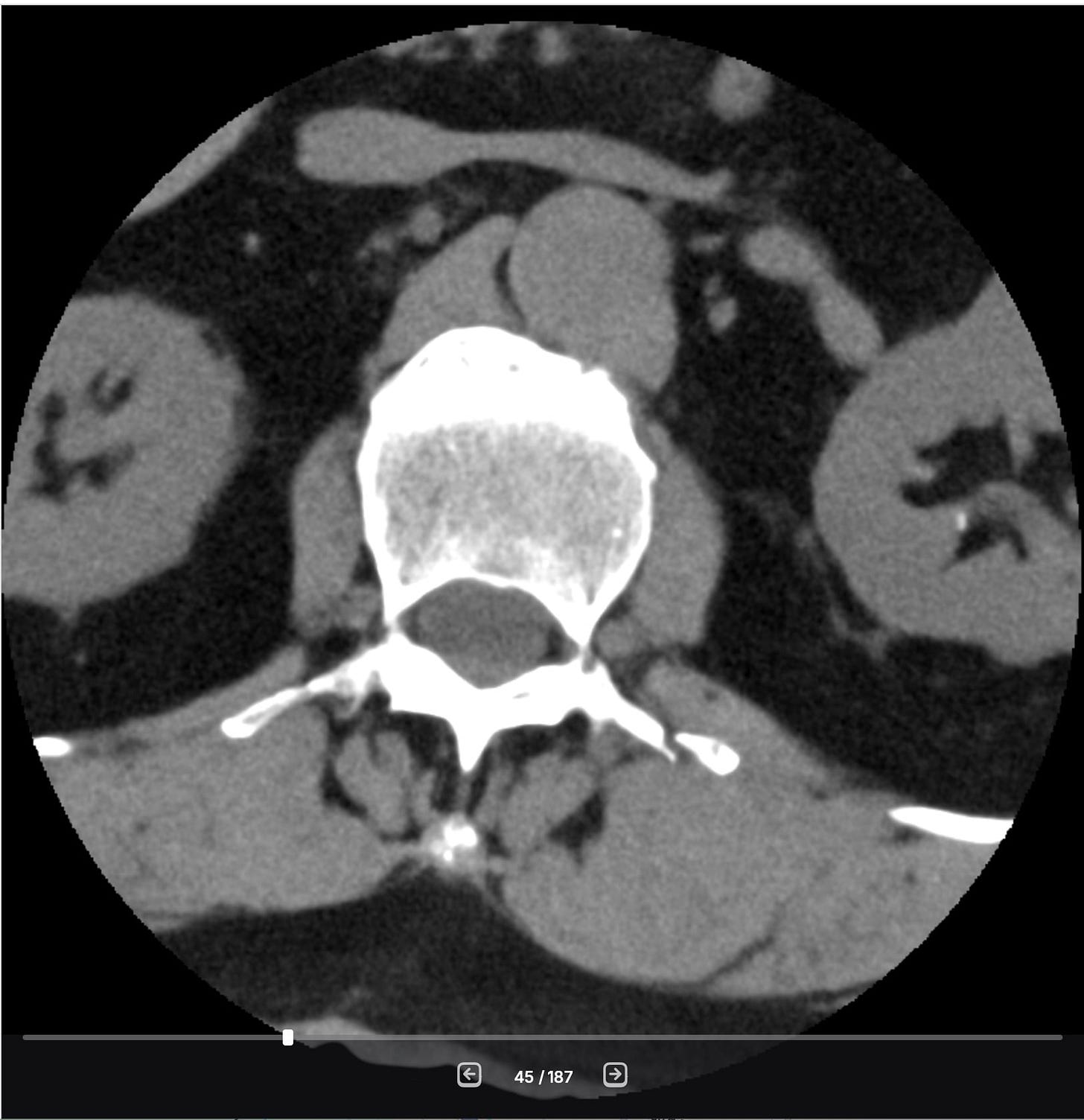
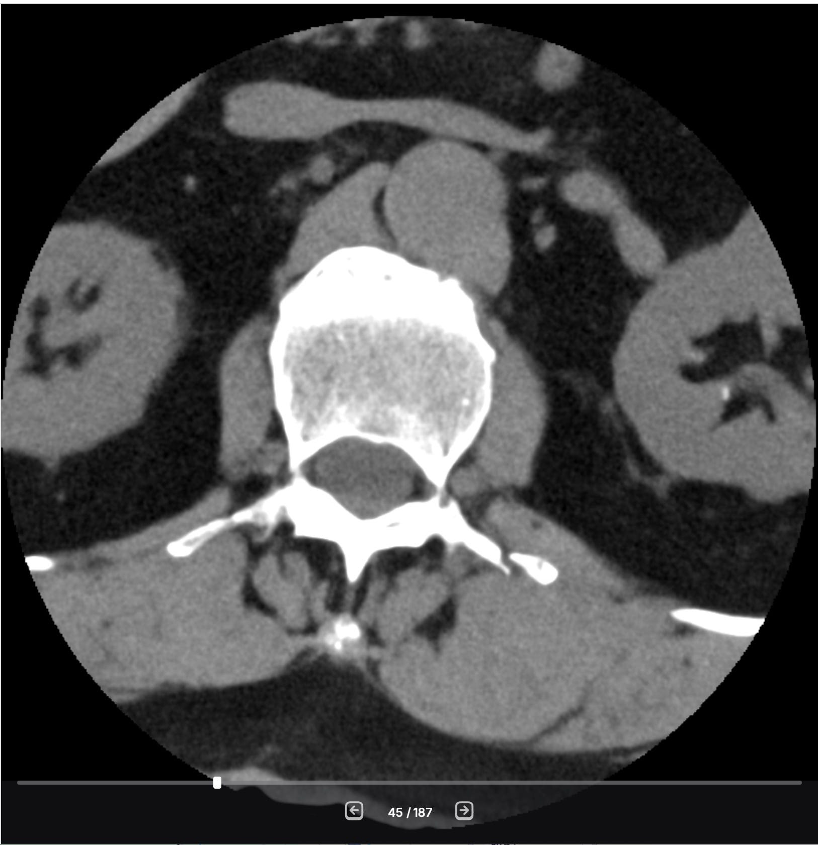
A spinal injury.
Normally, at this time of year, I would be busy on a ski hill, seeking the joy that comes from the exuberance of the carve. I’m not.
“Christmas 2025: It’s better to be grateful for what you have gained, instead of focusing on what you’ve lost.”
Instead, I’m at home, geeking out, learning all kinds of new technology, and taking it easy. Everyone once in a while, I glance at the webcam at my ski club and see those who are in the moment, enjoying their turns. You see, in my part of the world, it’s turned into an amazing early ski season.
I’m not part of it.
You see, just about a month ago, I broke some small bones in my spine in a violent fall. It was icy; the concrete stairs at the chalet were covered, and I took a slide right off and landed on my back.
A spinal injury.
The result was that I suffered 3 small fractures of what are called the transverse processes on my spine. I have images. You can see the break on the right.
I have the fall on video; a security webcam caught it. It’s hard to watch, and it’s hard to think about because I keep replaying the moment in my mind. I think it was when I shared it with the triage nurse at the ER that they decided they should see me right away.
And so right now, I am in the land of the ‘if only’s.’
If only.
You know. If only I hadn’t gone to the chalet that day. If only I hadn’t decided to work on a small project outside. If only the steps weren’t icy. If only...
It’s easy to do the ‘if onlys‘ because it offers a way out.
And yet, it doesn’t.
So what’s my status? As soon as you hear the word ‘spinal,‘ you freak out - as I did at the ER. The reality, though, is that this is an entirely minor break when it comes to back injuries, and is entirely recoverable.
With time.
And patience.
Which, traditionally, I do not have a lot of.
The path? One to two weeks of hardcore pain (now gone), two to four weeks of being extremely careful (which I am coming to the end of), and three to six months of full recovery (if you do what you are told to do- which is, not much.)
So what’s the current status?
I can walk - and in fact, was walking 5 km a day inside my house for the first week, 1,000 meters at a time. And for now, I’ve become an early-morning mall walker! I’m a regular now - people nod at my wife and me, say hello, and march on. I’m not quite ready to venture into the outdoors, and indeed, another fall at this moment could reverse my progress. So the mall it is!
Through all of this, I’ve come to understand the depth of the beautiful guidance that exists in the Serenity Prayer, which I have on hardcore repeat in my mind. “Help me accept the things I cannot change, the courage to accept the things I can, and the wisdom to know the difference.“
So what do I have?
Oh, so many things. I am so truly, truly blessed.
Let me mark just a few.
I have a wonderful new grandson, Mason, who fills my life with joy, my spirit with incalculable, and my outlook with unending hope. All I need is a small smile from him, as he approaches the 5-month mark, and my heart is flooded with a joy that is simply incomparable. He’s there, in the background, in this year’s Christmas photo. I’d love to share photos of his beautiful smile, but I am being respectful of their wish that I not ‘social media him.’
I have a family that is loving, caring, and has been oh so supportive throughout this ordeal. I think their first thought was, ‘How the heck are we ever going to get Dad through this?’ Their second thought was, “let’s do what’s necessary to get dad through this.” The photo was taken on the day they went to get a Christmas tree, since my wife and I could not, and the day, just a few days after the ‘incident,‘ was filled with joy and love.
I have a wife who is my world. She’s gone into full-on caregiver mode - walking with me in the mall, easing me through the challenges of the first weeks, cheering me up when I’m down, and tuning me out when I’m raving about how lucky I am, trying to keep me busy when I am bored, and pulling me back when I try to accelerate my progress. I seriously don’t know how she has the patience to deal with me, but here she is, the guiding light that will get me through this complex time.
I have my friends. A dear friend, Lise, who is like a sister to me, took me to the ER, sat with me, listened to my fears and worries, and cries of pain. She calls every few days to check in, showing me the caring love that comes from someone who has caring built into the depth of their soul. There are many other friends like this, including my good buddy Greg, who came to a mall walk with me one day, despite his normal exercise routine typically involving 80km-160 km on a bike ride.
I have my life and my health. This accident could have been so much worse - 2 inches, and it could have been a full spinal injury. There could have been internal damage. I might have hit my head - I did not. I have my fitness -- all my walking, cycling, and fitness routines have put me in shape for an excellent recovery path. ‘It could have been worse’has become the phrase around here. I keep replaying in my mind that one fellow who joined me on the first chair at the ski club over the last few years lost his life this autumn in a bike accident. I have a dear friend, a neighbour, who is still in hospital many, many months after being hit by a van while out for a walk one day. My situation is minor, to say the least.
I have my mind. I’ve been busy writing my Daily Inspiration posts in the context of my 2026 series. I’ve been on exploratory calls with potential clients, and have landed some wonderful speaking gigs into 2026. My first is at the end of January - and since I’m already walking 5km a day, I’ll easily do the 2km I do when I’m on a stage. I’m working on so many technology projects around the house that I think I could open a full IT support department. Hey, do you need anything done?
I have connections, and I have the luxury of knowledge. Through friends and my unique career, I’ve shared my case with some of the top orthopaedic, sports, and spinal doctors in North America, and all have said the same thing: “Fully recoverable, it will take time, don’t do anything stupid.” So I won’t. I’m having a running commentary with Dr. Google, using Gemini AI for an ongoing analysis of my case, and believe that I could now do a full 2-hour keynote on an injury of the spinal transverse processes. What’s AI telling me? “Fully recoverable, it will take time, don’t do anything stupid.”
Oh, and I have a tee time on the Old Course at St. Andrews on April 6, 2026 at 1 pm!
That’s my goal - that’s my recovery plan.
I have entered the annual lottery for a tee time for years, and much to my astonishment, succeeded for the coming year! I am wild with anticipation.
Theoretically, I could get out on the skis this year late in the season.
But the risk, for now, of ANY fall is just way too high, of reversing my progress, doing more damage, and setting me in the wrong direction. I can ski next year. It’s entirely recoverable.
With patience. And time. And family and friends and love.
And so my goal is to be patient, follow the process, don’t push things, and don’t be stupid. And learn from what I have learned.
There is a little moment at the finish line of my mall walk where a little mannequin has its arms raised with joy. I raise mine to remind myself of where I need to have my mindset.
2025?
This year, I truly discovered what it means to be grateful for what you have - not angry at what you’ve lost.
And so from the bottom of my heart, and from the depth of my gratitude, I’d like to say, Merry Christmas and Happy New Year!
(My 26 Principles Series will resume on Dec. 29)
Futurist Jim Carroll is working hard to be patient, follow the process, not to push things, and not being stupid.






