Intelligently Inactive
I'm a guy who, at my age, is in pretty decent physical shape and always VERY active - and now the most important thing I can do is to be intelligently inactive.
“Sometimes, the hardest brake to press is the one on your own ambition.” – Futurist Jim Carroll
In the world of leadership and innovation, we are wired for speed.
We obsess over acceleration, growth, and breaking barriers. But I am learning, in a very personal way, that the true test of discipline isn’t how fast you can go—it’s whether you have the discipline to go slow when every cell in your body screams “faster.”
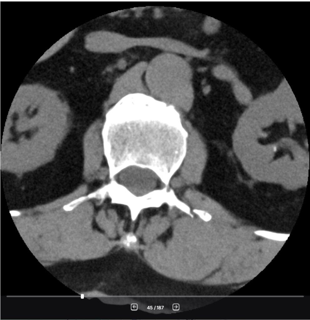
Because this is what you need to do when you have ‘minor fractures‘ of the transverse processes on your spine, as can be seen in my CT scan after my incident in November.
Which means I am currently living with a bit of a physiological paradox.
I’m a guy who, at my age, is in pretty decent physical shape and always VERY active - and now the most important thing I can do is to be intelligently inactive.
Let’s start here. I use all the modern tools on my phone to track my fitness and health. And I must admit, I’m in pretty good shape. My resting heart rate averages about 52 beats per minute. That’s athlete territory. My heart rate recovery is at the high end of the scale, dropping 38 beats in the first minute after exercise. That’s really good! Not only that, but according to Strava, I was in the top 0.4% of all users for hours active last year.
And get this - I lifted a cumulative 884,000 pounds and built a back strong enough to land in the top 20% of all users. Google Gemini tells me that it was probably the fact that the back extensions I do were my #1 exercise that prevented my fall from being much worse, because I’ve built up so much muscle back there!
By every metric, my “engine” is primed, tuned, and ready to dominate.
But my “chassis” is currently broken.
Keep reading with a 7-day free trial
Subscribe to Jim Carroll's Daily Inspiration to keep reading this post and get 7 days of free access to the full post archives.




